+420 773 212 347
stomatologiechodov@email.cz
EN

Záchovná stomatologie

Záchovná stomatologie neboli konzervační zubní lékařství je obor, který se zabývá ošetřením onemocnění tvrdých zubních tkání, zubní dřeně a periodoncia.
Ošetření zubního kazu
Zubní kaz je infekční onemocnění tvrdých zubních tkání, které způsobují bakterie obsažené v zubním plaku, jenž pokrývá povrch zubu v případě nedostatečné ústní hygieny.

V případě, že je zub poškozen pouze v menším rozsahu, používáme kvalitní fotokompozitní plomby. Použitím zvětšovací technologie (lupových brýlí nebo mikroskopu) vytvoří zubní lékař bílou výplň tak, aby barvou a tvarem přesně odpovídala stávajícímu zubu. Při správném zavedení má tato zubní výplň velmi dlouhou životnost.

V případě většího poškození zubu zhotovujeme vysoce estetické keramické plomby "Inlay Onlay Overlay" (vyráběné za pomoci CAD/CAM technologie).
Záchovná stomatologie
Záchovná stomatologie neboli konzervační zubní lékařství je obor, který se zabývá ošetřením onemocnění tvrdých zubních tkání, zubní dřeně a periodoncia.
Zubní kaz je infekční onemocnění tvrdých zubních tkání, které způsobují bakterie obsažené v zubním plaku, jenž pokrývá povrch zubu v případě nedostatečné ústní hygieny.

V případě, že je zub poškozen pouze v menším rozsahu, používáme kvalitní fotokompozitní plomby. Použitím zvětšovací technologie (lupových brýlí nebo mikroskopu) vytvoří zubní lékař bílou výplň tak, aby barvou a tvarem přesně odpovídala stávajícímu zubu. Při správném zavedení má tato zubní výplň velmi dlouhou životnost.

V případě většího poškození zubu zhotovujeme vysoce estetické keramické plomby "Inlay Onlay Overlay" (vyráběné za pomoci CAD/CAM technologie).
Ošetření zubního kazu
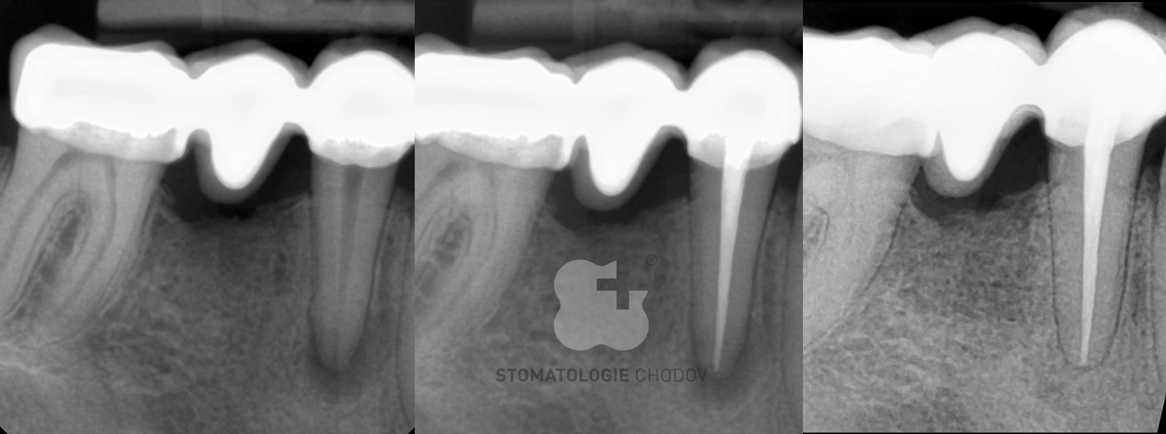
Endodontické ošetření
Mezi časté komplikace zubního kazu se řadí zánět dřeně (pulpitida) a rozšíření infekce kořenovým kanálkem až do kostního lůžka zubu (periodontitis). V některých případech mohou být zastiženy i další tkáně v dutině ústní.

Pokud taková situace nastane, je nutné provést endodontické ošetření (vyšetření a ošetření systému kořenových kanálků), během kterého probíhá opracování, čištění, dezinfekce a následné hermetické zaplnění kořenového kanálku.

Při ošetření systému kořenových kanálků v klinice používáme nejmodernější technologie:
• Bezbolestné ošetření díky lokálnímu znecitlivění;
• Dentální mikroskop s integrovanou kamerou CJ-Optik Flexion Advanced (Germany);
• Lupový systém Carl Zeiss (Eye Mag PRO S);
• Apexlokátor - elektronický přístroj pro měření délky kořenového kanálku;
• X-Smart iQ – nejnovější generace bezdrátového endomotoru s rotačním či recipročním pohybem, který umožňuje strojové opracování kořenových kanálků;
• Rubber dam (kofferdam) – zajištění čistého a nekontaminovaného operačního pole v dutině ústní;
• Intraorální digitální RTG senzor;
• Nástroje na jedno použití.
Endodontické ošetření
Mezi časté komplikace zubního kazu se řadí zánět dřeně (pulpitida) a rozšíření infekce kořenovým kanálkem až do kostního lůžka zubu (periodontitis). V některých případech mohou být zastiženy i další tkáně v dutině ústní.

Pokud taková situace nastane, je nutné provést endodontické ošetření (vyšetření a ošetření systému kořenových kanálků), během kterého probíhá opracování, čištění, dezinfekce a následné hermetické zaplnění kořenového kanálku.

Při ošetření systému kořenových kanálků v klinice používáme nejmodernější technologie:
• Bezbolestné ošetření díky lokálnímu znecitlivění;
• Dentální mikroskop s integrovanou kamerou CJ-Optik Flexion Advanced (Germany);
• Lupový systém Carl Zeiss (Eye Mag PRO S);
• Apexlokátor - elektronický přístroj pro měření délky kořenového kanálku;
• X-Smart iQ – nejnovější generace bezdrátového endomotoru s rotačním či recipročním pohybem, který umožňuje strojové opracování kořenových kanálků;
• Rubber dam (kofferdam) – zajištění čistého a nekontaminovaného operačního pole v dutině ústní;
• Intraorální digitální RTG senzor;
• Nástroje na jedno použití.
Rekonstrukce zubu
Po endodontickém ošetření musí nutně následovat rekonstrukce zubu (postendodontické ošetření). Konkrétní druh ošetření potom závisí na rozsahu poškození korunkové části zubu.

U endodonticky ošetřených zubů hrozí zvýšené riziko fraktury (prasknutí zubu), a z toho důvodu doporučujeme po ošetření provést rekonstrukci zubu pomocí CAD/CAM technologie (onlay/overlay nebo celokeramická korunka), jejímž cílem je maximálně šetřit zbývající zubní tkáň.

Rekonstrukce zubu
Po endodontickém ošetření musí nutně následovat rekonstrukce zubu (postendodontické ošetření). Konkrétní druh ošetření potom závisí na rozsahu poškození korunkové části zubu.

U endodonticky ošetřených zubů hrozí zvýšené riziko fraktury (prasknutí zubu), a z toho důvodu doporučujeme po ošetření provést rekonstrukci zubu pomocí CAD/CAM technologie (onlay/overlay nebo celokeramická korunka), jejímž cílem je maximálně šetřit zbývající zubní tkáň.
Texts, layouts, graphics, pictures and photos are exclusive property of Stomatologie Chodov s.r.o. and their unauthorized copying is punishable by law.
Close
Close
Zavolejte nám!
Rádi zodpovíme na všechny Vašě otázky